Barrett Özofagus Genetiği
Epidemiyolojik çalışmalar, barrett özofagusun ana nedenleri olarak çevresel faktörler, obezite, sigara, özofagus reflüsü ve diyeti gösterse de, genetik yatkınlığa dair artan kanıtlar da vardır. Genetiğin rolünün, hastalığın ilk aşamalarında en büyük olduğu artık oldukça açıktır.
Haber Merkezi / Bu konuyla ilgili bir dizi araştırma, bu durumdan birincil olarak üç genin sorumlu olduğu sonucuna varmıştır. Bu genlerin, dönüşümlerini veya mutasyonlarını takiben barrett özofagus riskini artırmada hayati bir rol oynadığı düşünülmektedir. Bunlar CTHRC1, ASCC1 ve MSR1’dir, aynı zamanda yatkınlık genleri olarak da adlandırılırlar, çünkü mutasyona uğramış formda olmadıkça aslında barrett’s özofagusuna neden olmazlar.
Yatkınlık genlerindeki germ hattı mutasyonları yemek borusu bozukluklarının ilerlemesine neden olur. Ayrıca MSR1, CTHRC1 ve ASCC1 genlerindeki mutasyonlar barrett özofagus ve özofagus adenokarsinomu ile ilişkilidir (p<0,001). barrett özofagus tipik olarak sadece hastayı ciddi şekilde tehlikeye atan terminal fazda tanımlanır. Özofagus karsinomları, önceden var olan barrett özofagus durumundan kaynaklanır ve bu da kronik inflamasyon üreten kronik gastroözofageal reflünün bir sonucu olarak gelişir.
MSR1 geni: MSR1 geni, Tip 1, Tip 2 ve Tip 3’ü içeren A sınıfı çöpçü makrofaj reseptörlerini kodlar. Yukarıda bahsedilen tüm tipler, MSR1 geninin rastgele eklenmesinden kaynaklanır. Bu izoformlar, hücre zarının makrofaj spesifik integral glikoproteinleridir ve makrofajla ilişkili birkaç patolojik ve fizyolojik süreçle ilişkilendirilmiştir. Bunlara ateroskleroz, konak savunması ve alzheimer hastalığı dahildir. Tip 1 ve Tip 2 genotipler, endositozda modifiye edilmiş düşük yoğunluklu lipoproteinlere (LDL’ler) aracılık edebilen operatif reseptörler olarak bilinir. MSR1 geninin konumu, 22 (8p22) konumunda, kromozom 8’in kısa kolu (p) üzerindedir.
ASCC1 geni: ASCC1 geni, sinyal ortak bütünleştirici 1’i (ASC-1) aktive eden bir alt birimi kodlar. ASC-1 kompleksi, AP-1 olarak adlandırılan protein 1, serum faktörü (SRF) ve nükleer faktör kappa-B’yi içeren çoklu transkripsiyon elemanları yoluyla genin transaktivasyonunda hayati bir rol oynayan transkripsiyonel koaktivatör olarak tanımlanır. Tüm bu kodlanmış proteinler, ASC-1 kompleksi yoluyla AP-1 transaktivasyonu için önemli olan bir N-terminali KH tipi RNA-bağlama motifi taşır. Bu gendeki mutasyonlar hem özofagus adenokarsinomu hem de Barrett’s özofagusu ile ilişkilidir. Birleştirilmiş transkriptler birden çok izoformu kodlar. ASCC1 geni, kromozom 10’un uzun kolunda (q) 22.1 (10q22.1) konumunda bulunur.
CTHRC1 geni: CTHRC1 geni, vasküler yeniden şekillenme ile arteriyel hücresel hasara yanıt olarak hayati bir rol oynayan proteini kodlayan bir lokustur. Bu gen lokusunun mutasyonları, Barrett özofagusu ve özofagus adenokarsinomu ile ilişkilidir. Kollajen matris homeostazının negatif düzenleyicileri olarak hareket edebilirler. Bu gen, kromozom 8’in uzun kolunda (q) 22.3 (8q22.3) konumunda bulunur.
Bütünleştirici genomik, tek SNP ve haplotip analizi gibi farklı analitik teknikler, gen mutasyonlarının gelecekteki tanımlanması için 12 potansiyel gen üretti. MSR1 genini içeren kromozom, patolojik inflamasyon ve apoptozda yer alabilen çöpçü reseptörleri kodlar.
Hastalarda saptanan budanan MSR1 c.877C>T mutasyonu dışında, bazı hastalarda ayrı bir MSR1 germline mutasyonu (c.760C>G, p.L254V) bulunmuştur. Bu gen mutasyonlarının meydana gelme oranı 0.017 (%95 0.021 ila 0.061, P=0.19) olarak tahmin edilmektedir. Ayrıca, biri ASCC1’de (c.869A>G, p.N290S) ve diğeri CTHRC1’de (c.131A>C, p.Q44P) bulunan iki mutasyon daha tespit edildi.

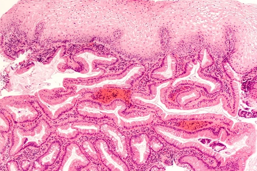
Barrett özofagusunda bulunan genetik kod
Kalıtsal Barrett Özofagus: Barrett özofagus, gastroözofageal bileşkedeki adenokarsinom veya özofagus adenokarsinomundan (EAC) etkilenen hastaların birinci veya ikinci derece akrabalarında kalıtsal barrett özofagus geliştirme riski yüksektir. Yakın tarihli çalışmalardan, etkilenen ailelerde nadir görülen otozomal dominant yatkınlık mutasyonu ile barrett özofagus riskinin artabileceği tespit edilmiştir. Kesin mutasyon hala tanımlanamadı.
Sporadik Barrett özofagusu: Barrett özofagusunun birincil risk faktörleri yaş, cinsiyet (erkek), gastroözofageal reflü bozukluğunun (GERD) varlığı ve cilt tonu (beyaz tenli insanlar) içerir. Obezite ve GÖRH, genetik barrett özofagus gelişimi için en belirleyici faktörler olarak bilinmektedir. GÖRH, barrett özofagus için birincil risk faktörüdür. Hastaların barrett özofagusun yanı sıra GÖRH’yi de kalıtsal olarak aldığı sporadik vakalar bulunmuştur. Birçok çalışma, barrett özofagusdan etkilenen ailelerin aslında GÖRH ile ilişkili bir genetik bileşene sahip olabileceğini doğrulamıştır.
Barrett özofagus gelişiminde obezitenin mekanizması net olarak tanımlanmamıştır, ancak GÖRH riskini arttırdığı bulunmuştur. Proliferasyonu destekleyen belirli insülin benzeri büyüme faktörü yolları ve insülin yolları aracılığıyla sinyalleşmede obezitenin neden olduğu artışlar da barrett özofagus etiyolojisinde yer alabilir.
Barrett özofagus olan veya olmayan obezitesi olan hastalar, IGF-1R genotipini belirlemek için incelenmiştir. Barrett özofagus obez hastaların, barrett özofagus veya GÖRH olmayanlara göre proliferatif IGF-1R genotipine daha sık sahip oldukları bulundu.






























